#đứt động mạch

Giữ mạng sống cho nam thanh niên dùng dao tự đâm thấu ngực
21:50 03/04/2017

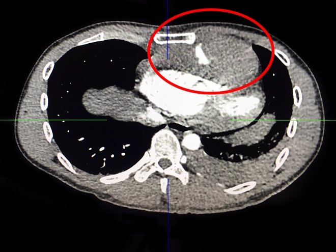
Thông tin tối ngày 3-4 từ Bệnh viện Xuyên Á (BVXA) cho hay, các bác sĩ vừa cứu sống bệnh nhân N.L.A.T. (32 tuổi, ngụ tại huyện Đức Hòa, tỉnh Long An). Trước đó, anh T. dùng dao Thái Lan tự đâm vào ngực mình để tự tử, vết thương thấu ngực sát tim, đứt động mạch cực kì nguy hiểm. 

Đoạn mạng bố người yêu do mượn xe không trả
19:18 06/11/2016
Sau nhiều lần đến nhà đòi xe không được, đến khoảng 8h sáng nay (6-11) Dũng cầm theo 1 con dao đến nhà ông Dung để đòi xe, sau 1 hồi cự cãi, Dũng cầm dao đâm một phát vào đùi phải của ông Dung khiến ông Dung đứt động mạch, tĩnh mạch và tử vong tại chỗ.
Cứu sống cháu bé bị đứt động mạch, đứt thần kinh giữa và gân cơ nhị đầu
15:21 09/10/2016
Đây là một thành công mới của các bác sĩ Bệnh viện Đa khoa Xanh Pôn khi cứu sống một cháu bé bị mảnh kính rơi làm đứt rời động mạch cánh tay trái, đứt rời thần kinh giữa, gân cơ nhị đầu, thấu khớp khuỷu trái. Sau 3 ngày được cấp cứu, đến ngày 9-10, tình hình sức khỏe của bệnh nhân Trịnh Văn Nam (10 tuổi, ở Cao Hà, Đức Giang, Hoài Đức, Hà Nội) đã dần ổn định với chiều hướng tích cực.